老人手术时导丝断裂掉进血管 医院:外科取出意义不大,补偿8000元
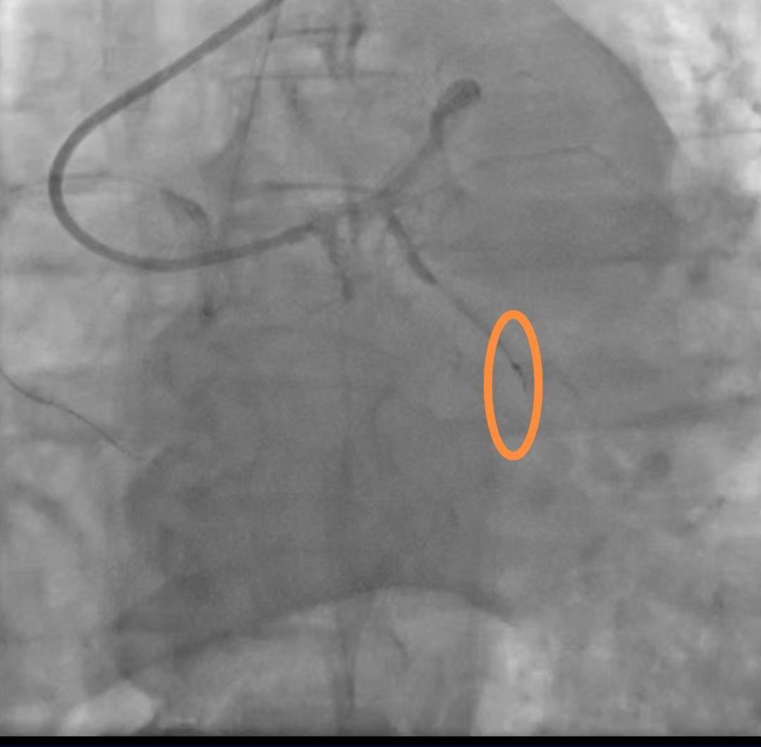
封面新闻记者 石伟 9月28日,河南汝州的高女士反映,她的父亲在河南省胸科医院手术时,手术用的导丝末端断裂,一截2厘米左右的导丝被遗留在血管中。 断裂的导丝(...
封面新闻记者 石伟 9月28日,河南汝州的高女士反映,她的父亲在河南省胸科医院手术时,手术用的导丝末端断裂,一截2厘米左右的导丝被遗留在血管中。 断裂的导丝(...
前不久,武汉市民胡女士在体检时意外发现,体内有一截断裂的异物,这让她倍感困惑 —— 这异物究竟是何时进入体内的?经过反复回忆,她终于想起22年前上学时的一次经历...
据新华社8月7日报道,记者从新疆伊犁哈萨克自治州党委宣传部了解到,8月6日18时18分,伊犁哈萨克自治州昭苏县夏塔景区一吊桥其中一条桥索断裂,发生桥面倾斜事故,...
8月4日,中国马镇旅游度假区发布关于皇家马厩游客意外受伤事件的说明称,2025年6月28日傍晚,两名北京游客带其女儿(7岁)来度假区皇家马厩参观,女孩在投喂汗血...
北京时间5月14日消息,凯尔特人队官方宣布,当家球星贾森-塔图姆确诊右脚跟腱断裂,并于当地时间周二下午成功接受了右脚跟腱断裂的修复手术。 绿军官方表示,现阶段...